Jak rostou zuby po sobě? Vše o kompozitních fazetách a jejich výměně

Domů/Jak rostou zuby po sobě? Vše o kompozitních fazetách a jejich výměně

Odhad životnosti kompozitních fazet

Zjistěte, jak dlouho budou vaše kompozitní fazety vydržet

Podle vašich zubních návyků a péče odhadneme, jak dlouho budou vaše fazety fungovat. Přidejte více než 5-8 let!

Vyberte možnosti a stiskněte tlačítko pro výpočet

Když někdo řekne, že zuby rostou po sobě, většina lidí si představí dětské zuby, které se vyměňují za trvalé. Ale co když jde o zuby, které už máte - ty, co jste si nechali opravit nebo zlepšit? Můžou se i ty „rostit“ po sobě? Odpověď zní: kompozitní fazety nejsou zuby, které rostou, ale mohou být vyměněny, opraveny nebo vylepšeny, když se zhorší. A to je přesně to, co většina lidí potřebuje vědět.

Co vlastně jsou kompozitní fazety?

Kompozitní fazety nejsou žádné nové zuby. Jsou to malé, tenké vrstvy plastického materiálu - stejného, jaký se používá na plomby - které se přilepí na přední povrch zubů. Slouží k opravě drobných vad: špíny, štěrbin, drobných zlomenin, nebo prostě k zlepšení barvy. Nejsou to keramické vložky, které se dělají v laboratoři. Kompozitní fazety se dělají přímo v ústech, během jedné návštěvy u zubaře.

Jejich hlavní výhoda? Nejsou invazivní. Neodstraňují se žádné zubní tkáně, pokud to není úplně nutné. Pokud máte jen mírně zčernělé zuby nebo lehce křivé přední zuby, kompozitní fazeta může být dokonalý řešení. Nebojí se, že vám to bude vypadat jako „plastová maska“ - moderní kompozity se barvou a leskem přizpůsobí vašim přirozeným zubům tak dobře, že je nevidíte.

Proč lidé myslí, že „rostou“ po sobě?

Je to zmatený překlad z angličtiny. V angličtině se říká „renewed“ nebo „replaced“ - tedy „obnovené“ nebo „vyměněné“. Ale v češtině se to někdy překládá jako „rostou po sobě“, což vede k nesprávné představě, že zuby se nějak samoobnovují. To není pravda. Zuby se ne rostou po sobě. Nejsou to kůže, které se stahují, nebo vlasy, které dorůstají. Kompozitní fazeta se neodrůstá, ale vyměňuje.

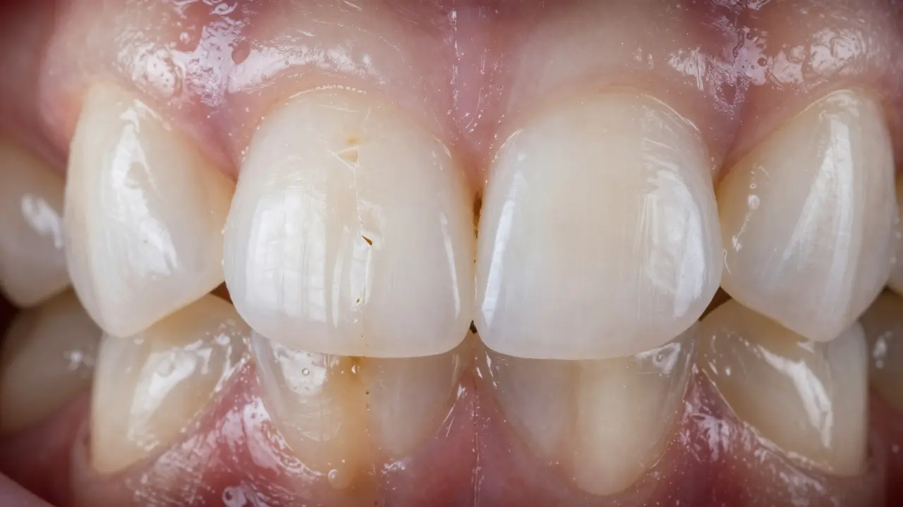
Protože kompozitní materiál není nekonečně trvanlivý, začne se po několika letech opotřebovávat. Může ztrácet lesk, barva se může změnit, nebo se může začít odlupovat na hraně. A právě tehdy lidé říkají: „Už mi to roste po sobě.“ Ve skutečnosti jen potřebují novou fazetu.

Kdy je čas na výměnu?

Kompozitní fazety obvykle vydrží 5-8 let. Někdy i déle - pokud máte skvělou ústní hygienu a nekouříte. Ale tady je seznam, kdy už je čas na výměnu:

  • Na hraně fazety se objeví šedivý nebo žlutý prsten - to je značka, že se začíná odlepovat a tam se může nasazet bakterie.
  • Zub se stává citlivější na studené nebo horké - to znamená, že mezi fazetou a zubem už není těsný kontakt.
  • Fazeta má viditelné škrábance nebo ztratila lesk - i když to není zdravotní problém, může to být estetický problém.
  • Chcete změnit barvu zubů - kompozit se může zbarvovat čajem, kávou nebo vínem, a když se zbarví, už ho neodčistíte.
  • Pocítíte, že fazeta „neodpovídá“ - že vypadá jinak než ostatní zuby. To může být způsobeno změnou barvy vašich přirozených zubů po bleachingu.

Nečekáte, až se fazeta úplně odloupne. Když začnete cítit, že něco není v pořádku, je čas jít k zubaři. Oprava na časném stádiu je levnější, rychlejší a bezpečnější.

Time-lapse artistic representation of old composite veneer being replaced with a new one.

Co se stane při výměně?

Výměna kompozitních fazet není operace. Je to jako „překreslení“.

  1. Zubař nejprve opatrně odstraní starou fazetu - obvykle pomocí jemného brusného disku. Nenaruší přirozený zub.
  2. Poté zub očistí, oteplí a připraví k přilepení nového materiálu. Použije se kyselina, která způsobí mikroskopické zdrsnění povrchu - aby se nový kompozit lépe přilepil.
  3. Na zub se nanesou vrstvy kompozitu, které se postupně tvarují a světlem ztuhne. Každá vrstva se zpevňuje zvlášť.
  4. Na konci se fazeta vybrusí a upraví, aby odpovídala tvaru a lesku vašich ostatních zubů.

Celý proces trvá 30-60 minut na jeden zub. Nejsou potřeba anestézie, pokud není zub citlivý. Většina lidí to považuje za pohodlný zákrok - podobný jako obyčejná plomba.

Co se stane, když to necháte?

Když necháte opotřebovanou fazetu, nejde jen o estetiku. Vzniká riziko:

  • Plomby na zubu: Pokud se fazeta odloupne, vznikne mezera, kde se může nasazet plomba - a to znamená kariés.
  • Bolest: Otevřený zub může být citlivý na teploty, sladké nebo kyselé potraviny.
  • Ztráta zubní tkáně: Pokud se fazeta odloupne a necháte to na dlouho, může dojít k narušení zubního skloviny - a to už se nevrátí.
  • Drahší řešení: Pokud se zub poškodí, můžete potřebovat korunku nebo dokonce implantát - což stojí 3-5x více než výměna fazety.

Nechávat to „na čas“ není šetření - je to riskování zdraví a peněz.

Co je lepší: kompozit nebo keramika?

Je to běžná otázka. Kompozitní fazety jsou levnější a rychlejší. Keramické fazety (např. veneers) jsou odolnější a trvají 10-15 let, ale vyžadují odstranění zubní tkáně a dvě návštěvy. Kompozit je tedy ideální pro:

  • Malé opravy
  • Testování estetiky před většími zákroky
  • Studující nebo lidé s omezeným rozpočtem
  • Osoby, které nechtějí odstraňovat zubní tkáň

Keramika je lepší, když:

  • Máte výraznější zbarvení
  • Chcete trvalé řešení
  • Chcete maximální lesk a odolnost

Neexistuje „lepší“ - jen „vhodnější“ pro vaši situaci.

Side-by-side comparison of worn and new composite veneers on front teeth.

Co dělat, abyste to vydrželi déle?

Kompozitní fazety nejsou „na věčnost“. Ale můžete jim pomoci:

  • Nečistíte zuby zubním kartáčkem s tvrdými štětinami. Používejte jemný kartáček - tvrdé štětiny mohou fazetu poškrábat.
  • Nežvýkejte tvrdé potraviny na těchto zubech. Oříšky, lodyhy, čokoláda s oříšky - to všechno může fazetu poškodit.
  • Nejedíte černý čaj, kávu nebo červené víno bez rýže. Pokud je to nevyhnutelné, vypláchněte si ústa vodou hned po jídle.
  • Navštěvujte zubaře každých 6 měsíců. Tam si necháte kontrolovat stav fazet - a pokud ještě nejsou poškozené, můžete je jen lehce upravit.
  • Nezakouřujte. Nikotin a smog se do kompozitu vkládají jako do houbičky.

Pravidelná péče znamená, že vaše fazety vydrží 8 let - ne 3.

Co když se mi fazeta odloupne?

Nezůstávejte doma s odloupenou fazetou. Nezkoušejte ji přilepit lepidlem z lékárny. Nezabírejte to „na vlastní pěst“.

Nejprve:

  • Uchovejte odloupený kousek - někdy ho lze znovu přilepit.
  • Nepřijímejte teplé nebo studené potraviny na tom zubu.
  • Nečistěte zub agresivními čisticími prostředky - jen jemným kartáčkem a vodou.
  • Zavolejte zubaři a domluvte si návštěvu do 48 hodin.

Ve většině případů se to dá opravit v jedné návštěvě. Pokud se zub poškodil, může být potřeba jiné řešení - ale to už zubař zjistí.

Je to vůbec hodné?

Jo. Když se podíváte na cenu: kompozitní fazeta stojí kolem 1 500-2 500 Kč za zub. Keramická vložka může stát 7 000-12 000 Kč. A přitom kompozitní fazeta vypadá stejně. Více než 80 % lidí, kteří si nechají kompozitní fazety, je spokojených s výsledkem. A když se vymění, vypadají jako nové.

Není to „plastová krytinka“. Je to moderní, přirozená, levná a rychlá cesta, jak získat pěkný úsměv - a pak ho udržet.

Můžou kompozitní fazety rostou po sobě jako zuby dětí?

Ne, kompozitní fazety nerostou. Jsou to umělé vrstvy materiálu, které se přilepí na zub. Není to žádný biologický proces. Když se opotřebí, musí být fyzicky odstraněny a nahrazeny novými. Někdy lidé říkají „rostou po sobě“, ale to je jen mluvní způsob, jak popsat, že se fazeta vyměňuje - ne že se samoobnovuje.

Je výměna kompozitních fazet bolestivá?

Ne, výměna kompozitních fazet obvykle není bolestivá. Zubař odstraní starou fazetu jemným brusem, a pokud není zub citlivý, ani není potřeba anestézie. Nová fazeta se aplikuje a ztuhne pod světlem - proces je rychlý a bezpečný. Některé osoby cítí mírnou citlivost po zákroku, ale to zmizí do 24 hodin.

Můžu mít kompozitní fazety na všech předních zubech?

Ano, můžete. Mnoho lidí si nechává kompozitní fazety na všech 6-8 předních zubech, aby dosáhli dokonalého úsměvu. Je to časté řešení pro lidi, kteří mají zbarvení, štěrbiny nebo mírné zlomeniny. Výsledek je přirozený, protože každá fazeta je tvarovaná individuálně podle vašich zubů.

Jak dlouho trvá výměna jedné fazety?

Výměna jedné kompozitní fazety trvá obvykle 30-60 minut. Všechno záleží na stavu zubu a komplexnosti. Pokud je zub v dobrém stavu a jen potřebuje novou vrstvu, může to trvat jen 30 minut. Pokud je potřeba opravit i malou kariés nebo přizpůsobit tvar, může to trvat až hodinu.

Je kompozitní fazeta vhodná pro dospělé i pro děti?

Kompozitní fazety jsou vhodné hlavně pro dospělé, protože vyžadují stabilní zubní řadu. U dětí se obvykle nepoužívají, protože jejich zuby stále rostou a mění tvar. Kromě toho, děti často mají zvyk žvýkat tvrdé předměty, což by mohlo fazetu poškodit. Pro děti je lepší koncentrovat se na prevenci a klasické plomby.