Zdraví ústní dutiny: co potřebujete vědět
Všichni chceme mít čistý a silný úsměv, ale často zapomínáme, co všechno ústní dutina skrývá. Jednoduchá péče a včasná kontrola mohou předejít velkým problémům. V tomto textu vám ukážeme, jak rozpoznat nebezpečí, co dělat, když se objeví kaz, a proč je dobré znát i kořen zubu.
Jak rozpoznat a předcházet závažným onemocněním
Rakovina ústní dutiny není jen něco, co se objeví u starších lidí. První příznaky mohou být změny barvy sliznice, otoky, nebo nehojící se rány. Pokud si všimnete něčeho neobvyklého, nečekejte – navštivte zubaře co nejdříve. Včasná diagnostika výrazně zvyšuje šanci na úspěšnou léčbu.
Prevence je jednoduchá: pravidelně čistěte zuby, používejte ústní vodu a nezapomínejte na chrupovou pastu s fluoridem. Omezte konzumaci tabáku a alkoholu, protože ty zvyšují riziko vzniku rakoviny. A nezapomeňte na roční kontrolu, i když se necítíte špatně.
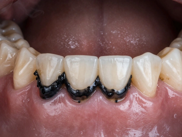
Základní péče o zuby a kořen
Kaz na předních zubech může být nejen nepříjemný, ale i kosmeticky rušivý. Nejčastěji vzniká zbytky jídla a nedostatečná hygiena. Zkuste čistit zuby dvakrát denně kartáčkem a mezizubní nití. Pokud se objeví první díra, zubař může použít jednoduchý výplňový materiál, který je často bezbolestný.
Kořen zubu je často opomíjený, ale hraje klíčovou roli v celkové stabilitě chrupu. Poškozený kořen může vést k infekci a ztrátě zubu. Správná technika čištění a pravidelné profesionální čištění pomáhají kořenům zůstat zdravé. Pokud máte citlivé dásně, zvolte měkký kartáček a jemné pohyby.
Každý z nás má různé typy zubů – řezáky, špičáky, třenové zuby. Znát jejich funkci pomáhá pochopit, proč je důležité čistit i těžko dosažitelné místa. Například třenové zuby mají drsnou povrchovou úpravu, která zachycuje zbytky jídla. Pravidelná péče o tyto zuby snižuje riziko vzniku kazů.
Pro udržení zdravých zubů a dásní je dobré také sledovat stravu. Omezte sladkosti a kyselé nápoje, které oslabují sklovinu. Místo toho sáhněte po čerstvém ovoci, zelenině a vodě. Tyto jednoduché změny mají velký vliv na zdraví ústní dutiny.
Pokud máte jakékoli pochybnosti, neváhejte a domluvte si konzultaci online nebo osobně. Naše centrum nabízí moderní vyšetření, rychlé diagnostické metody a individuální plán péče. Investice do zdraví ústní dutiny se vyplatí – ušetří vám bolest, náklady i ztrátu sebevědomí.
Na závěr si připomeňte, že zdravý úsměv není jen o vzhledu. Je to znak celkového zdraví, který můžete podpořit jednoduchými každodenními kroky. Pravidelná hygiena, kontrolní prohlídky a zdravé návyky jsou klíčem k dlouhodobé spokojenosti.
Jak rozpoznat a předejít rakovině ústní dutiny
- Radovan Novotný
- srp 3 2024
- 0 Komentáře
Rakovina ústní dutiny je vážné onemocnění, které je třeba včas rozpoznat. Tento článek nabízí užitečné informace o příznacích, možnostech diagnózy a prevenci rakoviny úst. Dozvíte se také zajímavá fakta a dostanete cenné tipy, jak si chránit své zdraví.
Zobrazit víceJak se zbavit kazu na předních zubech jednoduše a bezbolestně
- Radovan Novotný
- čen 22 2024
- 0 Komentáře
Tento článek se zaměřuje na způsoby, jak se zbavit kazu na předních zubech. Popisuje základní kroky prevence, přírodní metody léčby a dostupné profesionální zubařské zákroky. Poskytuje také rady, jak udržovat zdravou ústní hygienu a předcházet dalším problémům se zuby.
Zobrazit víceJak vypadá kořen zubu: anatomie a zajímavosti
- Radovan Novotný
- čen 8 2024
- 0 Komentáře
Kořen zubu je důležitá, ale často přehlížená část zubu. Tento článek popisuje anatomii kořene zubu, jeho funkce a význam pro celkové zdraví ústní dutiny. Naučíte se, jak správně pečovat o své zuby, včetně kořenů, a dozvíte se zajímavosti, které vám pomohou pochopit důležitost této části těla.
Zobrazit víceJak rozpoznat různé typy zubů: Praktický průvodce pro zdravý úsměv
- Radovan Novotný
- kvě 31 2024
- 0 Komentáře
Srozumitelný průvodce, jak rozpoznat různé typy zubů v našich ústech, proč jsou důležité a jak o ně pečovat. Článek přináší praktické tipy a zajímavosti, které vám mohou pomoci udržet zdravý a krásný úsměv. Ideální pro všechny, kteří chtějí lépe porozumět své ústní dutině.
Zobrazit více